
One of my favorite cases as I’ve known of this person but never said anything about his smile. It was always apparent in photos he did not smile with his teeth. One day he finally came in to ask if there was something I could do to give him a smile. I was excited to help him. He needed some orthodontic movement to make his case a conservative one so we could preserve tooth structure and utilize a veneering technique rather than crowns. Upon completion of the digital smile design and trial smile, he was already happy to see what his smile could look like. It was a pleasure to see the transformation in this case and now see photos of him smiling. We heard his wife loves it, too!
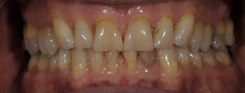
Before close up

Trial Smile close up

Before close up

Trial Smile close up

A year ago, Dr. Freeman took my worn-out 58-year-old teeth and made them look impeccable. Until then, I would not open my mouth for a smile. He methodically and painstakingly attended to all aspects of the reconstruction process: aesthetics, bite, gum health, etc. The process probably could have gone quicker had I gone to someone else, but working with this perfectionist required orthodontics and multiple visits to get it right. When the results were in, I was blown away! I can’t imagine that there is anyone out there who could have done a better job. We are truly fortunate to have a craftsman of this caliber working in Central Oregon.
